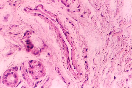
Muscular Artery
Blood vessels contain each of the major tissue types: epithelia (called endothelia)connective tissue, muscle, and nerve fibers. Find your skin slide (slide 25) and look for a muscular artery. The following photograph shows a muscular artery from skin, cut in cross section.
Identify the tissue content or type in each of the layers: Then, in the higher magnification shown in the following photograph, identify each layer.
- Tunica Intima__________________________
- Elastica Interna_________________________
- Tunica Media__________________________
- Elastica Externa_________________________
- Tunica Adventitia________________________
The elastic artery is a specialized type of artery designed for distension and elasticity. The largest of these also have connective tissue underneath the endothelium. In the following views, the different layers of an elastic artery can be seen. Find your elastic artery slide and compare the morphology with the labeled fields. Also, compare the elastic artery with a muscular artery. Note the same layers, although there are a lot more elastic fibers. Also, note that the largest vessels have their own blood supply, called "vaso vasorum”.


Go back to your skin slide and look for arterioles. Arterioles can be differentiated from arteries by the numbers of layers of smooth muscle. Usually there are no more than 6 layers. You can count the rows of nuclei to differentiate an artery and arteriole. How many smooth muscle cell layers can you see in the following photograph which shows two arterioles. 6.__________, 7.______________. Note the variation in size of the two vessels. The smaller of the two vessels is often called a "precapillary arteriole" because of the number of smooth muscle layers.

Find capillaries in your skin slide and/or in the slide of the spinal cord (see following images). Capillaries are tiny vessels lined by a single layer of endothelial cells. Note in the third photo that one capillary may accomodate only one blood cell. This helps you see why reducing the size of blood cells is important for their transport. What cellular layers are missing (tunics) in a capillary?



Find veins in your skin slide. Veins are distinguished by their thinner wall, valves, collapsed state. The tunica media does not look as well organized as that in the artery or arteriole.
In the following photo, identify the endothelial cells and the tunica media.

View the slide of the heart with your naked eye. First, hold it up to the light and find the thicker ventricle and the thinner atrium. You may also see the connective tissue projecting at right angles from the bottom of the atrium. This is the "atrioventricular valve". Once you have identified these regions, look at the valve and the muscle of each region with low power.
The endocardium is like that of the Elastic_Artery. It contains a layer of simple squamous endothelial cells along with a subendothelial connective tissue layer. The following photograph shows the layer which lines the inside of the heart. Underneath this layer is cardiac muscle. Note that it continues as the valve (seen in some of your slides).
The myocardium is the actual wall of the heart containing the cardiac muscle itself. It is equivalent to the "tunica media" of the blood vessel. Scan the wall of the heart. The following photo shows cardiac muscle fibers in the wall. Note the branching fibers and the centrally located nuclei.

The myocardium is the actual wall of the heart containing the cardiac muscle itself. It is equivalent to the "tunica media" of the blood vessel. Scan the wall of the heart. The following photo shows cardiac muscle fibers in the wall. Note the branching fibers and the centrally located nuclei.


Identify the intercalated disks in this photo. What is their function?
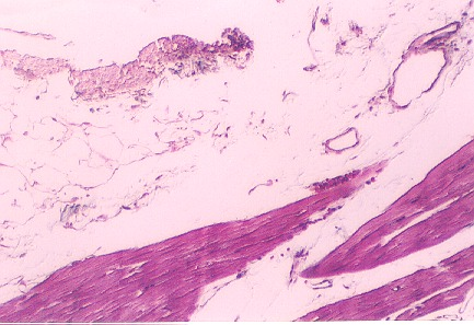
The epicardium is the fatty connective tissue outside the heart. It also contains large coronary arteries. Find this region and identify the arteries or veins. You may have to share your neighbor's slides.

Identify the coronary vessels and adipose tissue in this photograph.
Draw an overview of your section of the heart. Label:
Endocardium
Atrium
Ventricle
AV-Valve
Myocardium
Epicardium
http://microanatomy.net/cardiovascular/cardiovascular_system.htm
Gwen V. Childs, Ph.D., FAAA
Department of Neurobiology and Developmental Sciences
University of Arkansas for Medical Sciences
4301 W. Markham, Slot 510, Little Rock, AR 72205
For questions or concerns, send email to this address
