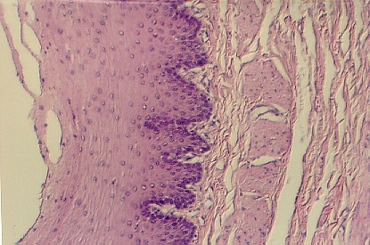
STRATIFIED SQUAMOUS EPITHELIUM
ESOPHAGUS
Stratified squamous epithelium has layers
of scale-like cells. What is the major function of this type of epithelium? The basal
layers of cells are stained dense purple. The apical layers face the esophagus lumen and
sometimes they are slo loughing off. Can you define the layers of this
epithelium?


Another example of stratified squamous epithelium is found in the SKIN. The outer layers of cells have filled with keratin and are no longer nucleated. Can you define the basal and apical layers of this epithelium?
URL Address: http://microanatomy.net/epithelia/stratified_squamous.htm
Gwen V. Childs, Ph.D., FAAA
Department of Neurobiology and Developmental Sciences
University of Arkansas for Medical Sciences
4301 W. Markham, Slot 510
Little Rock, AR 72205
For questions or concerns, send email to this address
