Mucosa
The esophagus is the muscular tube that sends the food from the oral cavity into the stomach. Because it must withstand friction, its epithelium is stratified squamous. However, glands are present under the epithelium in order to lubricate and protect the surface.
In a cross section of the esophagus, note the NON-KERATINIZED STRATIFIED SQUAMOUS EPITHELIUM lining the lumen. Just under the epithelium, is connective tissue, called the LAMINA PROPRIA. Together, the Epithelium and the lamina propria are called the MUCOSA.
The mucosa is shown in the higher magnification. There are bundles of smooth muscle fibers just beneath the lamina propria. These are called the MUSCULARIS MUCOSA. They are longitudinally arranged, so you would see the bundles cut in cross section in this section. They are difficult to distinguish from the connective tissue.
This figure shows a high magnification of the muscularis mucosa and lamina propria (to the left of the muscularis mucosa). Also, beneath the muscularis mucosa is a layer of connective tissue called the SUBMUCOSA. This is seen to the right of the muscle layers in this photograph.
This figure shows a high magnification view of the Muscularis mucosa.
Submucosa and Muscularis externa
Underneath the submucosa are two muscle layers. The inner layer is a circular layer, cut in cross section in this view. The outer layer is running longitudinally. Together, these muscle layers are called the MUSCULARIS EXTERNA. You can see striated muscle in the muscularis of the upper third of the esophagus. The remainder of the wall consists of smooth muscle. Can you see striated muscle in the figures below, or in your slides?


The outermost layer of the esophagus is the ADVENTITIA. It may not be present or abundant in your slide. It consists of loose connective tissue with numerous blood vessels and nerves.
In-between the muscle layers, you may see collections of nerve fibers and neuronal cell bodies. This is the AUERBACH's PLEXUS which contains nerves that supply motor control to the muscle and glands in the organ. They are part of the autonomic nervous system. If you don't find any in your esophagus slide, you will no doubt see them in later sections through the GI tract. MEISSNER's PLEXUS is more difficult to find and recognize. It is dispersed within the connective tissue of the submucosa. Do not spend a lot of time trying to find it.
Gastroesophageal Junction
Look at slide 42, which is through the Gastroesphageal junction. This section is a longitudinal section, so the muscle groups will be running differently. The slide shows the abrupt change in the epithelium from stratified squamous (esophagus) to simple columnar (stomach). It also shows that the muscularis mucosa is broken up by numerous esophageal glands.
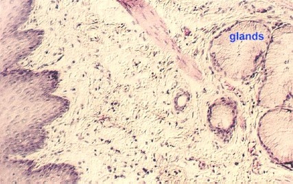
This photograph shows a region containing the mucosa, lamina propria, a bundle of the muscularis mucosa, and esophageal glands. Locate the glands and the muscle bundle.
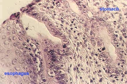
This photo shows the abrupt transition from the stratified squamous (left) of the esophagus to the simple cuboidal epithelium of the stomach. Why are the esophageal glands well placed in the esophagus? Why are they needed?
http://microanatomy.net/digestive/esophagus.htm
Gwen V. Childs, Ph.D., FAAA
Department of Neurobiology and Developmental Sciences
University of Arkansas for Medical Sciences
4301 W. Markham, Slot 510, Little Rock, AR 72205
For questions or concerns, send email to this address
